El diseño, la ingeniería y las tecnologías patentadas de LightWalker lo han convertido en el láser de Erbium de corte más rápido del mundo, superando incluso a las fresas rotativas en términos de velocidad y precisión, a la vez que ofrece una amplia gama de tratamientos de tejidos duros y blandos altamente eficaces. Los modos operativos fáciles de seleccionar de LightWalker y los sistemas avanzados de emisión de láser mejoran la precisión y el rendimiento de cada tratamiento con láser para una eficacia clínica óptima.
LightWalker AT / AT S es el modelo de LightWalker más avanzado y de mayor rendimiento. Está equipado con láseres Er:YAG y Nd:YAG de alto rendimiento, un brazo articulado OPTOflex® de última generación, una potencia inigualable de 20 W y la tecnología de pulso QSP patentada de Fotona para obtener el máximo rendimiento y precisión en los tratamientos.
El LightWalker ST-E es un sistema láser de longitud de onda única Er:YAG, diseñado para dentistas que ya tienen un láser de tejidos blandos o que prefieren centrarse principalmente en tratamientos de tejidos duros.


Tratamiento de Caries
Preparación de Cavidad
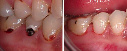
Alargamiento de corona.
Desde la odontología conservadora, la endodoncia y la implantología hasta la periodoncia y la cirugía de tejidos blandos, los láseres LightWalker ofrecen la mayor gama de aplicaciones clínicas de todos los láseres dentales que se fabrican en la actualidad. LightWalker también es perfecto para procedimientos dentales cosméticos como el delicado pero efectivo blanqueamiento dental con láser de Fotona TouchWhite®. Además, con una actualización estética opcional, el modelo LightWalker AT / AT S puede utilizarse incluso para tratamientos faciales, como la reducción de arrugas.
Las tecnologías patentadas VSP (pulso cuadrado variable) y SMOOTH de Fotona mejoran al máximo la precisión, el rendimiento y la seguridad de los tratamientos dentales con láser. El VSP permite a los profesionales controlar con precisión la duración del pulso del láser y su intensidad de acuerdo con las necesidades de la aplicación específica, con sólo pulsar un botón.
Recibí directamente en tu bandeja de entrada las últimas novedades, ofertas exclusivas y tendencias